医院文化
当前位置 :网站首页 > 医院文化
医院文化
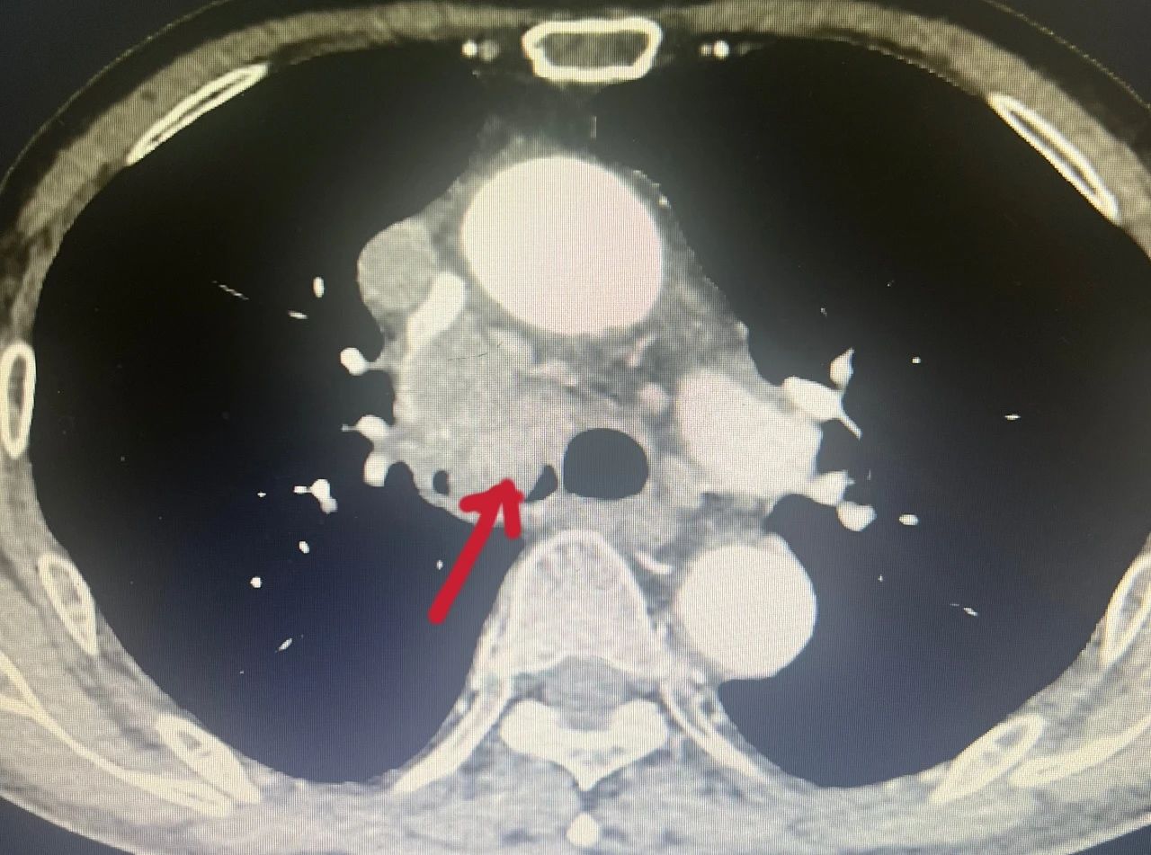
当前位置 :网站首页 > 医院文化 “支气管肿瘤”对人们来说比较陌生,它是呼吸系统的少见病症,以往的常规治疗手段是手术切除肿瘤后进行气管重建,手术难度大、风险高。为了减轻支气管肿瘤患者的身体负担,景德镇市第一人民医院呼吸与危重症医学科积极推动技术创新,成功引进并成熟开展多例经支气管镜高频电圈套切除术,为多名支气管肿瘤患者顺利“拆弹”,使患者们恢复畅快呼吸。 CT显示右侧气管内有巨大肿瘤 李大爷今年71岁,六个月前确诊为肺肉瘤样癌,一个月前间断性咳血,呼吸困难,最近感觉情况加重,到景德镇市第一人民医院呼吸与危重症医学科就诊。11月30日,患者出现意识模糊、血气提示急性呼吸衰竭。 “呼吸的通道堵塞严重,情况很危险,随时都可能窒息。”市一院呼吸与危重症医学科主任卢志军介绍。通过综合评估患者年龄、耐受能力、影像学特征,呼吸与危重症医学科团队最终决定对患者实施支气管镜高频电圈套器肿瘤切除术。“这样可以切除病灶,迅速解除气道阻塞,缓解症状”。 卢志军正在进行支气管镜手术(资料图片) 术前工作准备就绪,手术紧张有序的进行。随着气管镜进入患者的主气管时,看到患者右侧主气管内一个圆形“硕大”的肿瘤,卢志军通过电圈套器对肿瘤进行套扎,同时使用氩气刀辅助切割和止血,肿瘤顺利切除,随后采取冷冻处理减少肉芽和肿瘤组织生长,最后使用电凝术对肿瘤根部进行最后的处理和止血,手术用时仅15分钟,最终气道顺利再通,末梢血氧也由术前的60%升至正常。李大爷现已顺利出院。 术前术后对比图 经支气管镜高频电圈套切除术是呼吸内镜下支气管肿物切除术常用手段之一,通过纤支镜检查可以在镜下直视气管、支气管的粘膜是否发生病变、管腔是否通畅,通过对病变部位进行组织活检、刷检以及肺泡灌洗可协助疾病诊断。此外,通过支气管镜还可以进行较多的镜下治疗,高频电圈套就是其中一种。该项技术利用高频电圈套将气管内的新生物套住,自新生物根部将其切除,高频电圈套的优点是可以切除较大块的肿物,并且出血少、安全性高、患者花费低、操作时间短,甚至仅使用局部麻醉就可以完成,与全身麻醉相比,并发症少,安全性更高。对于气管、支气管的气管息肉、良性肿瘤、平滑肌瘤及恶性肿瘤的姑息治疗,有较好的治疗效果。 呼吸与危重症医学科简介 景德镇市第一人民医院呼吸与危重症医学科成立于2010年10月,经过不断发展壮大,现已形成具有规模和专科医疗特色的医教研全面发展的科室,2020年与江西省胸科医院为省市共建学科。 科室开放普通床位 98 张,重症监护床位 6 张。配有医师 19人,护士 64人,其中医师高级职称 6人,主治医师 9人,住院医师 4 人,副主任护士4人,主管护师 4人等,其中硕士 5 人。 除了呼吸科常见病、慢性阻塞性肺病、各种呼吸衰竭及间质性肺病、肺结节病及肺心病等呼吸危重症疾病的诊治,近年来,科室不断开展了肺癌的早期诊断及个性化治疗,支气管镜检查、内科胸腔镜检查及各种介入治疗,及置入细管胸腔闭式引流术治疗气胸及胸腔积液, 经彩超或 CT 引导经皮肺穿刺活检技术,经支气管镜肺活检,肺段灌洗,钳取异物,经支气管镜引导气管插管术,经支气管镜氩气刀治疗技术、冷冻治疗技术,球囊扩张,支架植入治疗恶性肿瘤大气道狭窄,内科胸腔镜诊疗技术,经皮穿刺置入 125I 粒子治疗肺恶性肿瘤技术,床旁支气管镜检查等各种急危重症救治技术等。还有已购入超声支气管镜和硬质支气管镜,即将开展超声支气管镜检查及淋巴结穿刺活检术,硬质支气管镜技术等。


